Terminsprechstunde:
MO/DI/DO von 8.00 bis 19.00 Uhr
MI/FR von 8:00 bis 18.00 Uhr

Lachtehäuser Straße 10
29223 Celle/Altenhagen

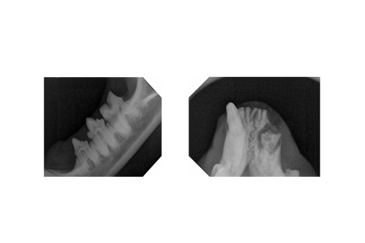
Zahnheilkunde

Erkrankungen der Zähne und des Zahnhalteapparates können vielfältig sein und das Allgemeinbefinden ihres Tieres stark beinträchtigen.

Folgende Prophylaxe-und Therapiemaßnahmen bieten wir an: 

  • Zahnsteinentfernung mittels Scaling, Ultraschall und Nachpolieren
  • digitales Dentalöntgen
  • Inhalations-/ Intubationsnarkose
Wir benutzen Cookies

Wir nutzen Cookies auf unserer Website. Einige von ihnen sind essenziell für den Betrieb der Seite, während andere uns helfen, diese Website und die Nutzererfahrung zu verbessern (Tracking Cookies). Sie können selbst entscheiden, ob Sie die Cookies zulassen möchten. Bitte beachten Sie, dass bei einer Ablehnung womöglich nicht mehr alle Funktionalitäten der Seite zur Verfügung stehen.